マウスピース型矯正歯科装置 |
||||
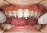
| マウスピース型矯正歯科装置は目立たない取り外しのできる装置です。 1回のステップで個々の歯が0.2~0.5㎜ずつ移動を目標としています。各ステップでマウスピースはソフト0.5mmとハード0.8mmの2種類を使います。初めにソフトのマウスピースを使用します。使用開始から3日間くらいはきつく、痛みを伴うこともあります。装着し続けると次第にきつさがなくなります。ソフトのマウスピースが容易に装着できるようになったらハードのマウスピースに切り替えます。ハードのマウスピースに切り替えると、ソフトのマウスピースと同様に最初はきつく感じ、使用しているうちに違和感がなくなります。ハードのマウスピースが容易に装着できるようになったら、次のステップに進みます。使用時間は、歯みがきとお食事のとき以外です。寝るときも使用します。使用時間が短いと歯は動きません。使用できないと次の段階に進めません。 当院では、歯科技工士が歯科医師の直接指示のもとマウスピースを作製しています。高い精度のマウスピースを作製できるコンピューター制御による加圧形成機と国の承認を受けた歯科材料を使用しています。マウスピースの紛失や破損、装置が入らないなどトラブルが生じた場合、すぐに対応できます。3Dプリンター導入前は「一回のお口の型とりで1つのステップのマウスピース作製」でしたが、3Dプリンター導入後、「一回のお口の型とりで数段階のマウスピース作製」となり、早くに次の段階に進めるようになりました。
![]() |
||||



